医学科研服务Product Catalogues
- HE染色切片着色浅:多维度解析与对策
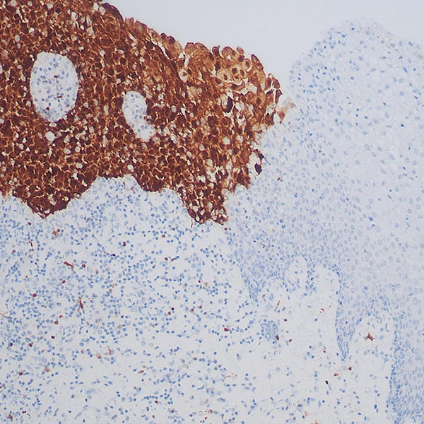
- 东极生物带你深入探索免疫荧光检测技术
- 探索PAS染色的艺术:关键技巧与安全实践
- 载体构建(vectorconstruction)
- 定点突变
- 甲基化检测
- SNP,单核苷酸多态性( Single Nucleotide Polymorphism,SNP )
- circRNAs(Circular RNAs,环状RNA)解决方案
- 细胞自噬(autophagy or autophagocytosis)
- 蛋白质印迹法(免疫印迹试验)Western Blot
- 细胞系STR鉴定
- 实时荧光定量PCR实验
联系人:胡先生
手机:18052091425
电话:18052091425
邮箱:fuwu@jhtqm.com
地址:江苏省南京市六合区王桥路59号六合科创中心D座5F










